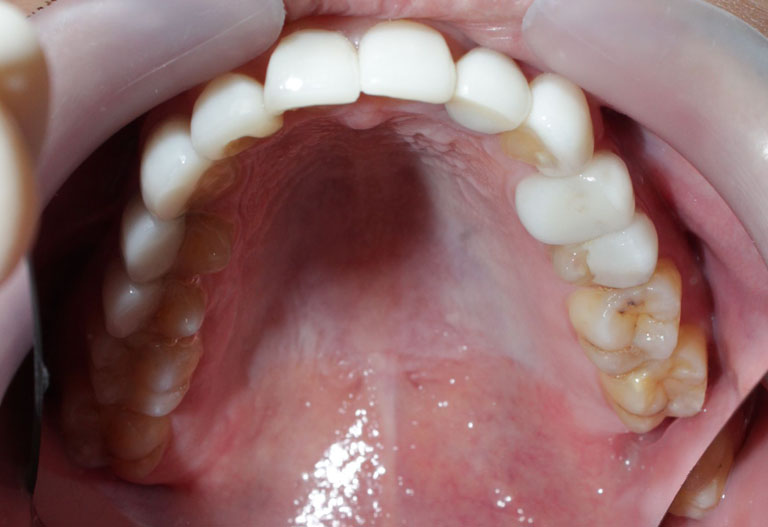
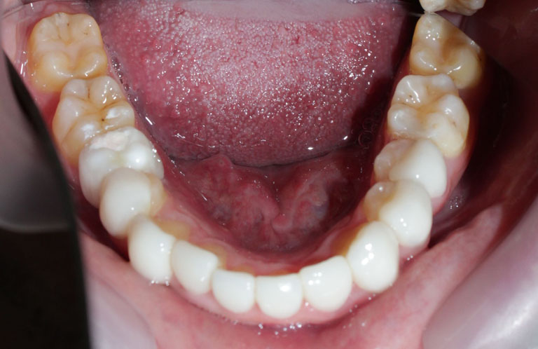
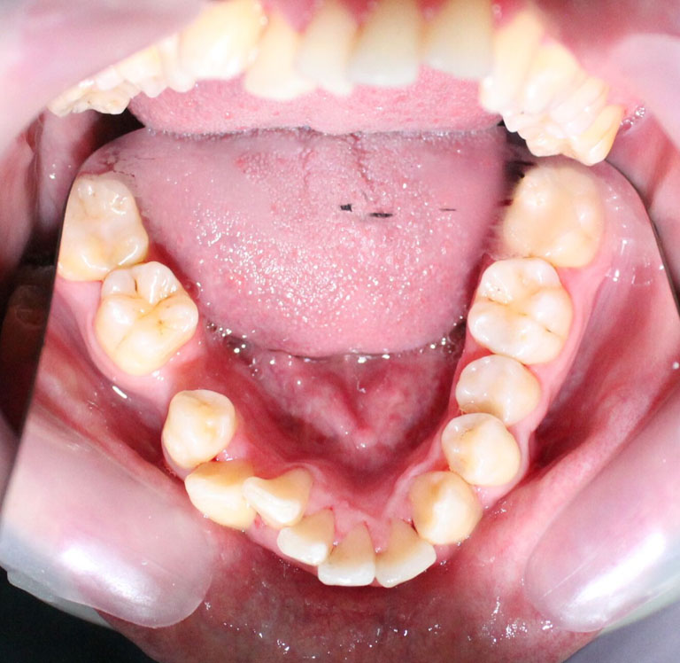
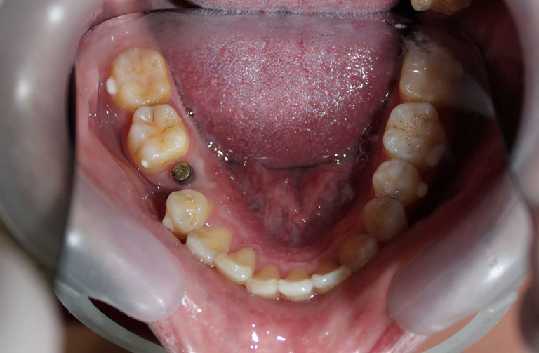
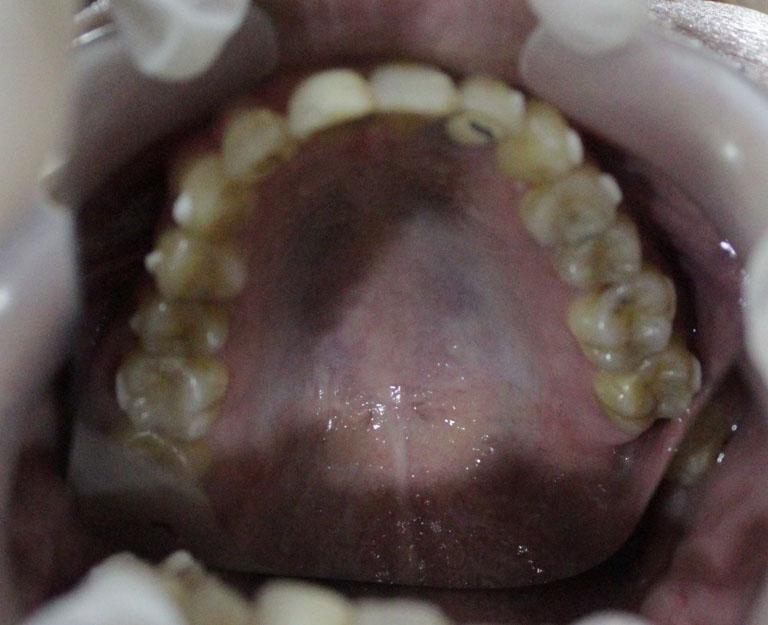
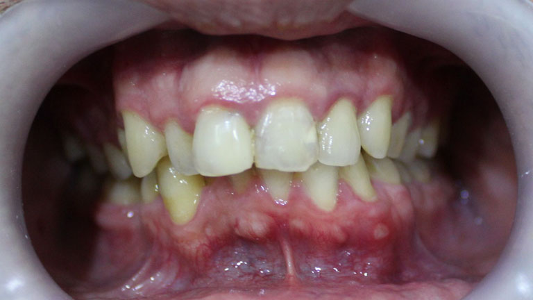
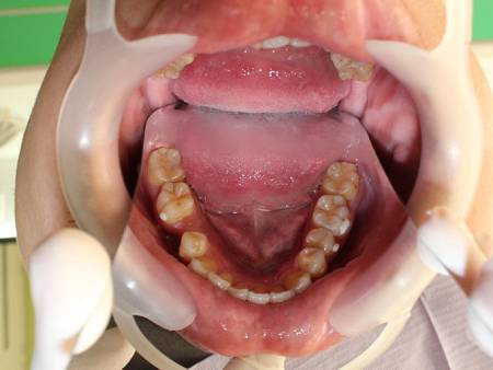
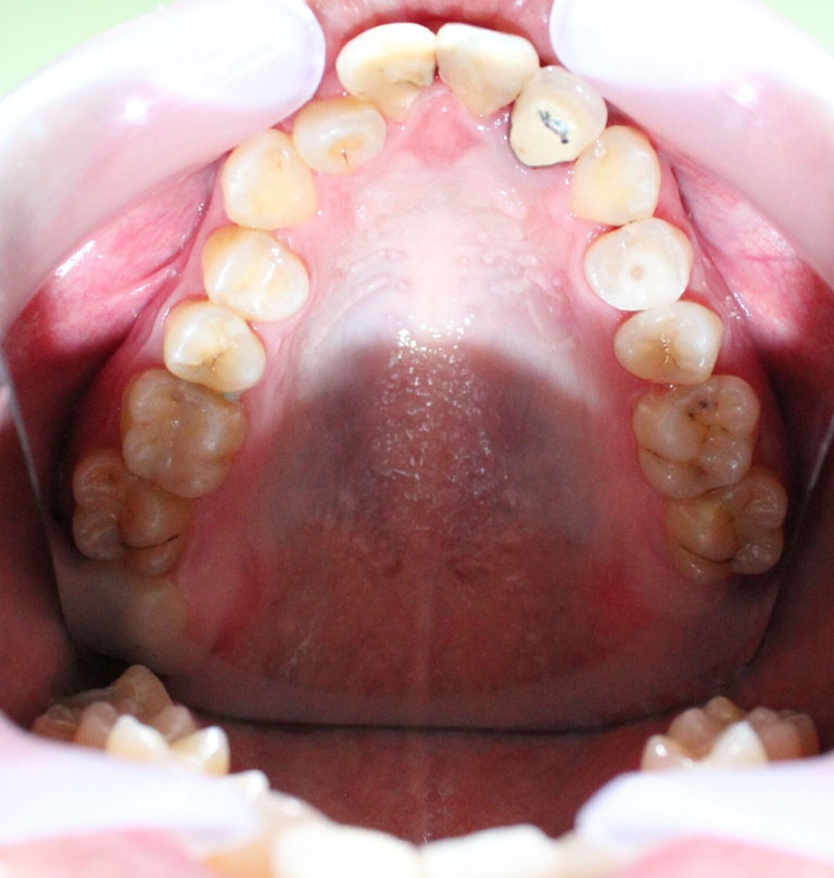
Smile Make Over Journey

Mengapa Molar Dental Clinic menjadi pilihan kamu untuk pengalaman ke dokter gigi?

1.Kami pahami bahwa kondisi gigi/mulut dan kebutuhan treatment setiap pasien selalu unik dan personal.

Kamu punya pilihan untuk memulai hari ini.

2. Kami percaya konsultasi dan diskusi yang baik diawal menjadikan perjalanan treatment yang menyenangkan.

Pastikan setiap pertanyaan dan pendapat kamu tersampaikan.

3. Kebutuhan kamu untuk memperbaiki fungsi dan penampilan menjadi hal yang kami perhatikan.

Pengunyahan yang lengkap menjadikan kamu lebih percaya diri.

4. Hasil treatment adalah bentuk akhir dari diskusi yang diwujudkan secara personal dan unik untuk setiap keinginan kamu.

Kamu selalu bisa menjadi lebih baik dari yang sebelumnya.

Modern, hygienic, quality trusted menjadi identitas Molar Dental Clinic yang kami upayakan selalu untuk kamu

Kontak Kami